International Journal of Research in Pharmaceutical Sciences (IJRPS) ISSN: 0975-7538 sponsored by JK Welfare & Pharmascope Foundation is established in the year 2009 with people from various avenues of the pharmacy profession. IJRPS is completely devoted to publications related to Pharmaceuticals and Health Sciences. IJRPS will be published quarterly. The journal publishes original research work that contributes significantly to further the scientific knowledge in Pharmaceutical and Health Sciences.

Vol. 16 No. 3 (2025): Volume 16, Issue 3, 2025

					View Vol. 16 No. 3 (2025): Volume 16, Issue 3, 2025
Published: 2025-07-01

Original Articles

  • Advanced synergistic remediation of diverse plastic pollutants using nano-enabled biocatalysts

    James Abe Hillari Katumalla (1), Pandu Brahmaji Rao (2)
    (1) Department of Environmental Sciences, Acharya Nagarjuna University, Andhra Pradesh, India,
    (2) Department of Environmental Sciences, Acharya Nagarjuna University, Andhra Pradesh, India
    73-83
    Abstract Views : 101
    Download :40
  • Patterns and outcomes of chronic migraine treatment: insights from a two-month prospective study

    Manju KC (1), Sunita Gupta (2), Anjali Pandey (3), Aakriti Aryal (4), Pooja Bhattarai (5), Mohammad Musthfa (6), Arjun Bhandari (7), Paridhi Kunwar (8), Gautam Prasad Chaudhary (9)
    (1) Department of Pharmacy, Crimson College of Technology, Pokhara University, Devinagar, Butwal -11, Rupandehi., Nepal,
    (2) Department of Pharmacy, Crimson College of Technology, Pokhara University, Devinagar, Butwal -11, Rupandehi., India,
    (3) Department of Pharmacy, Crimson College of Technology, Pokhara University, Devinagar, Butwal -11, Rupandehi., Nepal,
    (4) Department of Pharmacy, Crimson College of Technology, Pokhara University, Devinagar, Butwal -11, Rupandehi., Nepal,
    (5) Department of Pharmacy, Crimson College of Technology, Pokhara University, Devinagar, Butwal -11, Rupandehi., Nepal,
    (6) Department of Pharmacy, Crimson College of Technology, Pokhara University, Devinagar, Butwal -11, Rupandehi., Nepal,
    (7) Department of Pharmacy, Crimson College of Technology, Pokhara University, Devinagar, Butwal -11, Rupandehi., Nepal,
    (8) Department of Pharmacy, Crimson College of Technology, Pokhara University, Devinagar, Butwal -11, Rupandehi., Nepal,
    (9) Department of Pharmacy, Crimson College of Technology, Pokhara University, Devinagar, Butwal -11, Rupandehi., Nepal
    54-62
    Abstract Views : 162
    Download :37
  • An FMEA-driven holistic approach to quality risk management for new product introduction in pharmaceutical commercial plant: navigating global regulatory landscapes

    Nikhil Arun Vyawhare (1)
    (1) Quality Assurance, SM Pharmaceuticals Sdn Bhd., Lot 88, Sungai Petani Industrial Estate, Sungai Petani, Kedah – 08000 , Malaysia., Malaysia
    24-45
    Abstract Views : 271
    Download :51
  • Correlation of serum iron, ferritin, and magnesium with preterm labour

    Yogita Kamble (1), Suvarna Tryambak Jadhav (2), Nitin Bagal (3)
    (1) Department of Biochemistry, D.Y. Patil Medical college Kolhapur, Maharashtra,, India,
    (2) Department of Biochemistry, D.Y. Patil Medical college Kolhapur, Maharashtra,, India,
    (3) Department of Biochemistry, Dr. Vasantrao pawar Medical College, Nashik, Maharashtra,, India
    7-13
    Abstract Views : 124
    Download :45
  • Analytical techniques and integrated microbial remediation of microplastic from aquatic system

    Sriveni D (1), Pandu Brahmaji Rao (2)
    (1) Department of Environmental Science, Acharya Nagarjuna University, Andhra Pradesh, , India,
    (2) Department of Environmental Science, Acharya Nagarjuna University, Andhra Pradesh, , India
    63-72
    Abstract Views : 103
    Download :34
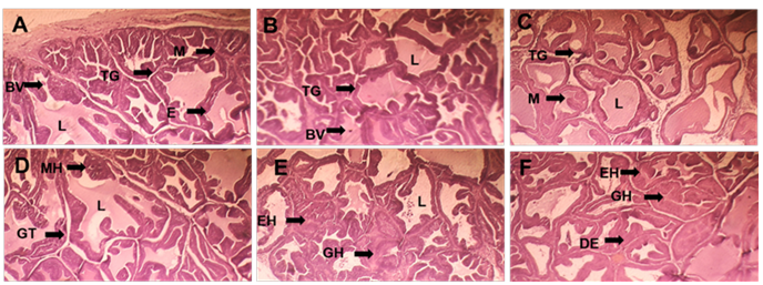
  • Effects of atmospheric endocrine disruptors from the city of Ouagadougou on female reproductive function in the Wistar rat

    Souleymane Bengyende (1), Abdoul Dramane Sana (2), Tééganimbé Jean Luc Kabore (3), Elisabeth Ouedraogo (4), Essohamam Jean Webike-mindamou (5), Balé Bayala (6)
    (1) Laboratory of Animal Physiology, UniversitĂ© Joseph KI-ZERBO, 03 BP 7021 Ouagadougou 03, Burkina Faso., Burkina Faso,
    (2) Laboratory of Animal Physiology, UniversitĂ© Joseph KI-ZERBO, 03 BP 7021 Ouagadougou 03, Burkina Faso., Burkina Faso,
    (3) Laboratory of Animal Physiology, UniversitĂ© Joseph KI-ZERBO, 03 BP 7021 Ouagadougou 03, Burkina Faso., Burkina Faso,
    (4) Laboratory of Animal Physiology, UniversitĂ© Joseph KI-ZERBO, 03 BP 7021 Ouagadougou 03, Burkina Faso., Burkina Faso,
    (5) Laboratory of Animal Physiology, UniversitĂ© Joseph KI-ZERBO, 03 BP 7021 Ouagadougou 03, Burkina Faso., Burkina Faso,
    (6) Laboratory of Animal Physiology, UniversitĂ© Joseph KI-ZERBO, 03 BP 7021 Ouagadougou 03, Burkina Faso., India
    46-53
    Abstract Views : 105
    Download :35
  • Long-term exposure to sildenafil-adulterated herbal aphrodisiacs induces oxidative and functional alterations in the prostate and seminal vesicles of male rats

    Nomawende Emmanuel Joachim Armel Ouedraogo (1), Basile Tindano (2), Maya Doukouré (3), Wendyam Joëlle Raymonde Yougbaré (4), Elisabeth Ouedraogo (5), Jean Luc Kaboré (6), Abdel Aziz Koussoubé (7), Dramane Sana (8), Souleymane Bengyende (9), Balé Bayala (10)
    (1) Laboratory of Animal Physiology, Joseph Ki-ZERBO University, 03 BP 7021 Ouaga 03, Ouagadougou, , Burkina Faso,
    (2) Laboratory of Animal Physiology, Joseph Ki-ZERBO University, 03 BP 7021 Ouaga 03, Ouagadougou, , Burkina Faso,
    (3) Laboratory of Animal Physiology, Joseph Ki-ZERBO University, 03 BP 7021 Ouaga 03, Ouagadougou, , Burkina Faso,
    (4) Laboratory of Animal Physiology, Joseph Ki-ZERBO University, 03 BP 7021 Ouaga 03, Ouagadougou, , Burkina Faso,
    (5) Laboratory of Animal Physiology, Joseph Ki-ZERBO University, 03 BP 7021 Ouaga 03, Ouagadougou, , Burkina Faso,
    (6) Laboratory of Animal Physiology, Joseph Ki-ZERBO University, 03 BP 7021 Ouaga 03, Ouagadougou, , Burkina Faso,
    (7) Laboratory of Animal Physiology, Joseph Ki-ZERBO University, 03 BP 7021 Ouaga 03, Ouagadougou, , Burkina Faso,
    (8) Laboratory of Animal Physiology, Joseph Ki-ZERBO University, 03 BP 7021 Ouaga 03, Ouagadougou, , Burkina Faso,
    (9) Laboratory of Animal Physiology, Joseph Ki-ZERBO University, 03 BP 7021 Ouaga 03, Ouagadougou, , Burkina Faso,
    (10) Laboratory of Animal Physiology, Joseph Ki-ZERBO University, 03 BP 7021 Ouaga 03, Ouagadougou, , Burkina Faso
    14-23
    Abstract Views : 134
    Download :42

Case Report

View All Issues